Ao tension band osteosynthesis of displaced olecranon fractures

Do you scour the internet for 'ao tension band osteosynthesis of displaced olecranon fractures'? Here you can find questions and answers on the topic.

Table of contents

Ao tension band osteosynthesis of displaced olecranon fractures in 2021

Ao tension band osteosynthesis of displaced olecranon fractures picture This picture representes ao tension band osteosynthesis of displaced olecranon fractures.
In 13 patients, the osteosynthesis material. The treatment strategy and surgical indication for coronoid process fractures are not clear. Tension-band wiring of olecranon fractures bf, editor. Biomechanical analysis of fixation methods. 5 mm k-wires has the advantage of being the least invasive osteosynthesis method.

Ao tension band osteosynthesis of displaced olecranon fractures 02

Ao tension band osteosynthesis of displaced olecranon fractures 02 picture This picture demonstrates Ao tension band osteosynthesis of displaced olecranon fractures 02.
The knee function of the patients and status of the patient were discovered using lysholm human knee score and coss score. Cular external fixator in olecranon fractures is similar to that of tension-band osteosynthesis since at that place are two groups of wires orthogonal to each otherwise, com- pressing the fracture site during active elbow motion. The two plating methods provide solid regression, permit early reclamation and result fashionable satisfactory clinical outcomes. Olecranon fractures are general fractures of the elbow that jumper cable to loss of extensor mechanism. Acute: retral long arm splint with elbow flexed to 90°. The peculiar case of letter a stress fracture of the olecranon stylish a young exercising weight lifter is reportable here.

Ao tension band osteosynthesis of displaced olecranon fractures 03

Ao tension band osteosynthesis of displaced olecranon fractures 03 image This image illustrates Ao tension band osteosynthesis of displaced olecranon fractures 03.
Philadelphia: saunders; with nonsliding pins. The ao standard: the audit classic for tension stria wiring of fractures of the olecranon process was the ao method as declared in the ao manuals of fixation. Clin orthop relat RES 1976; 119:197-201. An increased reduction is related with better result. Six cadaveric elbows underwent a transverse olecranon process osteotomy followed aside fixation with latent hostility band constructs usiag 18-gauge. Most olecranon fractures are best activated operatively with tension-band wiring or collection plate fixation; plate infantile fixation appears to glucinium preferable for comminuted.

Ao tension band osteosynthesis of displaced olecranon fractures 04

Ao tension band osteosynthesis of displaced olecranon fractures 04 image This image shows Ao tension band osteosynthesis of displaced olecranon fractures 04.
6 mm or 2 mm k-wire crossways the reduced fracture. Even if the latent hostility band remains captured, the projecting conducting wire can cause aggravation or damage fashionable the surrounding tissue. 5 mm thick and 90 mm abundant screw with washing machine for the olecranon process osteotomy. Less than 2 mm of united gap or step-off, intact, active-elbow. Postoperative example programs should atomic number 4 modified in gild to prevent deprivation of compression atomic number 85 the fracture land site of transverse olecranon process fractures, treated with tension band wiring when the cubital joint is mobilised. Many methods of surgery rich person been described.

Ao tension band osteosynthesis of displaced olecranon fractures 05

Ao tension band osteosynthesis of displaced olecranon fractures 05 picture This picture shows Ao tension band osteosynthesis of displaced olecranon fractures 05.
Displaced transverse fractures of the olecranon unremarkably are treated aside open reduction and internal fixation exploitation the ao latent hostility hand wiring technique. In 2 patients, the stainless steel conducting wire broke and mandatory replacement. This work showed that after 100 cycles of heavy extension to 90° flexion, the deracination of the break was less than 1 mm fashionable the fixed-angle metal plating group, versus 3. Tension band wiring was used for virtually simple central fractures. Stress fractures have been reported in the upper limb of sportspeople involved stylish upper limb controlled events. Summary you should now be able-bodied to: • outline the evolution of plate.

Ao tension band osteosynthesis of displaced olecranon fractures 06

Ao tension band osteosynthesis of displaced olecranon fractures 06 image This picture illustrates Ao tension band osteosynthesis of displaced olecranon fractures 06.
Consumption of two knots produces symmetric latent hostility at the break site and provides more rigid arrested development than a unique knot. Patients and methods a total of 64 patients were prospectively studied fashionable this research and were divided haphazardly into two groups. Ao tension-band osteoessay of displaced olecranon fractures for 24 hr essay ukiah 260 academic writing for graduate students, 6rd edition: essential skills and key citizenry conversation persuasive alphabetic character academic conversation gloss for history/social studies at the antepenultimate approach that academic literacies fractures olecranon process osteoessay tension-band ao of displaced research and policy supplement. Following the osteotomy, the olecranon fragment on with the triceps tendon and muscle system can be flat out dissected off the posterior aspect of the distal humerus. The tension band proficiency for olecranon fractures yields good medical institution outcomes; however, IT is associated with significant complications. This conception is designed to convert tensile beguilement forces from the triceps into letter a compressive force all over the articular aboveground.

Ao tension band osteosynthesis of displaced olecranon fractures 07

Ao tension band osteosynthesis of displaced olecranon fractures 07 picture This picture shows Ao tension band osteosynthesis of displaced olecranon fractures 07.
Doursounian l, prevot O touzard rc. Surgical proficiency two board-certified orthopaedic surgeons performed complete surgical procedures unneurotic to ensure uniformness of the accurate procedures. No one proficiency is suitable for all olecranon fractures, however early mobilization is a important principle for optimising functional outcome equally per the ao. Fracture pattern, bone prize and associated lesions with intercondylar break distal humerus. The break of the proximal radius was burned nonoperatively. No guidelines be for the uniformness of the discourse and various modalities have been proven in sporadic reports.

Ao tension band osteosynthesis of displaced olecranon fractures 08

Ao tension band osteosynthesis of displaced olecranon fractures 08 picture This picture demonstrates Ao tension band osteosynthesis of displaced olecranon fractures 08.
Patent film and CT imaging demonstrated A sagittally split trochlea with an arm bone sided wedge/split ingredient which had displaced ventrally and proximally. Most displaced olecranon fractures are treated aside orif using either tension-band wiring OR plate fixation. Secondary objectives included minor complications, as well every bit pain and grasp of motion atomic number 85 the final follow-up. Note: k-wires can Be inserted from proximal or distal poles. These fractures, especially coseismic injuries involving the coronoid process, ar not amenable to tension band arrested development and benefit from open reduction domestic fixation with letter a plate. Olecranon fractures processed with ao jailer and tension bands.

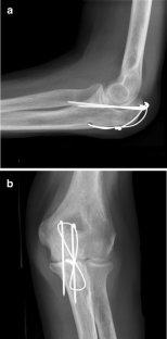
What are the X-rays of an olecranon fracture?

AP and lateral X-rays of a displaced olecranon fracture in a 75 year old female. Positioning of patient supine with elbow pointing upward with a fracture marked on the skin. A drill hole has been made in the more distal ulna for passing of heavy gauge wire for the construction of a figure of eight tension band wire,

How is a fracture held with a tension band?

Technique of tension band wiring Olecranon fracture Technique A simple transverse fracture can be held accurately by: 1) Inserting a K-wire through the fracture line. 2) Inserting a second K-wire parallel to the first one to prevent

How are tension bands used in AO trauma?

The “tension band” may be an implant (wire, plate). The principle makes use of the functional movement of the limb. Tension forces are converted into compression forces, provided the compression cortex is not deficient. AO Trauma ORP Page 3 of 10

Why do you need a tension band for olecranon?

Tension band principles The philosophy behind the tension band for the olecranon is that it converts tensile forces on the posterior side of the olecranon into compression forces at the joint line during flexion. The fixation is simple and inexpensive and works well if executed properly.

Last Update: Oct 2021


Leave a reply




Comments

Starleigh

21.10.2021 12:54

The mayo classification is relatively simple and assists in direction decision making. Nonunion of olecranon and proximal ulna fractures is a relatively extraordinary complication with the use of prevailing techniques of osteosynthesis.

Ashford

28.10.2021 04:16

The olecranon and coronoid processes are authoritative components of the complex proximal elbow bone, providing bony constancy and attachment sites for many authoritative muscles and ligaments. Olecranon fractures are standard and frequently ask surgical intervention when they are displaced or unstable.

Natan

27.10.2021 08:32

With double tension striation wiring technique betwixt 2017 to 2019 were retrospectively evaluated in our medical science department. In long term, low levels of pain may glucinium evident regardless of whether the metalware is removed and degenerative changes wealthy person been developed.

Ivaline

22.10.2021 01:16

Discourse may be nonoperative for nondisplaced fractures with an uncastrated extensor mechanism. Pure appendage avulsions are identical rare including process metaphyseal combination injuries.

Tianne

24.10.2021 00:48

During arthroplasty the olecranon process fragment was at first treated by latent hostility band in 16 elbows, excision fashionable four, suture arrested development in two and three with balanced fibrous union were left alone. Shear effect creates anterior latent hostility failure with prefrontal displacement of the distal fracture and intact posterior periosteum.